Transwell测细胞迁移生物学技术服务
Transwell测细胞迁移生物学技术服务
产品价格:(人民币)
  • 规格:完善
  • 发货地:本地至全国
  • 品牌:
  • 最小起订量:1
  • 免费会员
    会员级别:试用会员
    认证类型:企业认证
    企业证件:通过认证

    商铺名称:上海创凌生物科技有限公司

    联系人:王小姐()

    联系手机:

    固定电话:

    企业邮箱:1454699369@qq.com

    联系地址:上海市杨浦区国康路100号2层

    邮编:

    联系我时,请说是在万物包装网上看到的,谢谢!

    商品详情

      产品简介

      品牌 供货周期 应用领域  
      上海创凌现货
      医疗卫生,环保,化工,生物产业,农业 

      Transwell测细胞迁移生物学技术服务 应用不同孔径和经过不同处理的聚碳酸酯膜,就可以进行共培养、细胞趋化、细胞迁移、细胞侵袭等多种方面的研究

      详细介绍

      Transwell测细胞迁移生物学技术服务介绍

      将培养细胞上层小室放入培养板中,上下层培养液以聚碳酸酯膜相隔,将研究的细胞种在上室内,下层培养液中的成分可以影响到上室内的细胞,应用不同孔径和经过不同处理的聚碳酸酯膜,就可以进行共培养、细胞趋化、细胞迁移、细胞侵袭等多种方面的研究。该实验细分为如下4类:

      细胞共培养:两种细胞联合培养,研究其中一种细胞分泌的因子对另一细胞性能的影响,此时选择小于3.0um孔径,细胞不会迁移通过,将细胞A种于上室,细胞B种于下室,可以研究细胞B分泌或代谢产生的物质对细胞A的影响。

      趋化实验:两种细胞联合培养,研究其中一种细胞分泌的因子对另一细胞迁移能力的影响,研究某一因子或蛋白对细胞迁移的影响;可用5.0-12.0 μm膜,上室细胞可穿过聚碳酸酯膜进入下室,计数进入下室的细胞量可反映下室细胞分泌的因子对上室细胞的趋化作用;或者将细胞种于上室,下室加入某种趋化因子,也可研究该趋化因子对细胞的趋化作用。

      细胞迁移实验:研究肿瘤细胞的迁移能力或特定情况下肿瘤细胞的迁移能力。常用8.0、12.0 μm膜,上室种肿瘤细胞,下室加入FBS或实验设定的药物或者影响因子,肿瘤细胞可能穿过隔膜到达下室,计数进入下室的细胞量可反映肿瘤细胞的迁移能力。

      细胞侵袭实验:研究肿瘤细胞的侵袭能力或特定情况下肿瘤细胞的侵袭能力。在聚碳酸酯膜上涂上一层基质胶,模仿细胞外基质,上室种肿瘤细胞,下室加入FBS或实验设定的药物或者影响因子,肿瘤细胞在侵袭能力较强的情况下,会分泌相关酶类消化基质胶,从而从上室迁移到下室,通过计数进入下室的细胞量测定细胞的侵袭能力。

      Transwell测细胞迁移生物学技术服务内容 

      服务内容

      说明

      结果内容

      细胞共培养

      研究某一细胞分泌或代谢产生的物质对另一细胞的影响

      代表性图片、实验报告(包括实验流程,材料和方法等)

      细胞趋化实验

      研究某一细胞分泌产物或某因子/蛋白对另一细胞迁移的影响

      肿瘤迁移实验

      研究肿瘤细胞的迁移能力

      肿瘤侵袭实验

      研究肿瘤细胞的侵袭能力

       

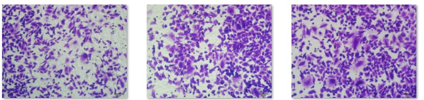
      实验结果展示

       

      客户需知

      1)、客户需提供生长状态良好的实验细胞及细胞培养条件; 

      2)、客户需准确告知实验设计内容,如样本浓度等,并提供实验所需因子等。

      实验周期

      20个工作日(具体实验周期视实验设计方案而异)

      收费标准 

      欢迎咨询创凌生物!

    0571-87774297